Der Begriff Morgagni-Hydatide – von altgr. ὑδατίς, hydatis (wässrig, Wasser enthaltend) – bezeichnet zwei unterschiedliche anatomische Strukturen als verbliebene Reste der Embryonalentwicklung bei Mann und Frau. Sie sind nach dem italienischen Pathologen Giovanni Battista Morgagni (1682–1771) benannt.
Bei Männern handelt es sich um ein funktionsloses Relikt des Müller-Gangs. Der Gang wird beim Mann zwar angelegt, degeneriert dann aber unter dem Einfluss des Anti-Müller-Hormons. Die Appendix testis ist ein bläschenförmiges, ungestieltes Anhängsel, das sich auf dem Hoden neben dem Nebenhodenkopf befindet. Es stellt das kraniale Ende des Müller-Gangs dar, das durch den Descensus testis in den Hodensack mitgewandert ist.
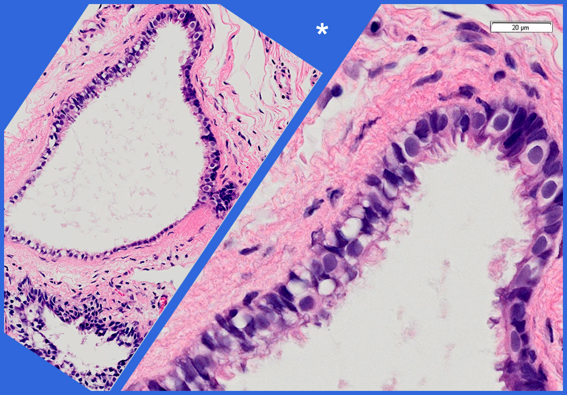
Bei Frauen bestehen kleine gestielte, mit Flüssigkeit gefüllte Bläschen am Fimbrientrichter des Eileiters als zystische Ausweitung des Wolffschen Ganges von 2 bis 10 mm Größe. Meist findet man solche Hydatiden als Zufallsbefunde bei Bauchspiegelungen. Eine operative Entfernung ist sinnvoll, wenn sie größer sind und die Gefahr einer Stieldrehung besteht.
Erkrankungen
Überwiegend bei Männern besteht die Gefahr einer Torsion der Hydatide, welche bei Frauen kaum auftritt. Dabei wird die Blutversorgung der Zyste unterbrochen. Die Symptome der Torsion der Appendix testis (Hydatidentorsion), plötzlich auftretende Schmerzen, entsprechen denen einer Hodentorsion, sind jedoch meist nur von kurzer Dauer und weniger intensiv. Die Hydatidentorsion tritt vorwiegend im Kindes- und Jugendalter auf, kann jedoch in jedem Lebensalter vorkommen. Die Behandlung erfolgt – nach Diagnosesicherung bzw. sonographischem Ausschluss einer Hodentorsion – in der Regel primär konservativ mit Schmerzmitteln bzw. Entzündungshemmern (z. B. Ibuprofen), körperlicher Schonung und lokaler Kühlung. In Fällen schwer beherrschbarer oder persistierender Schmerzen erfolgt eine operative Abtragung der Hydatide. Einige Quellen geben der operativen Behandlung dieses akuten Geschehens generell den Vorrang.
Literatur
- Morgagnische Hydatide. In: Meyers Großes Konversations-Lexikon. 6. Auflage. Band 14: Mittewald–Ohmgeld. Bibliographisches Institut, Leipzig / Wien 1908, S. 142 (zeno.org).
Einzelnachweise


![]()

